Skip Menu
Continue
  • 105 Diagnostic Drive,
  • Frankfort, KY 40601
  • Home
  • About Us
    • Our Office
    • In-House Wellness Program
    • Financing With Cherry
    • New Patients
    • Smile Gallery
    • Dental Videos
    • Testimonials
  • Our Doctors
    • Nathan Nitz, DMD
    • Steven J. Swintosky, DMD
  • Services
      • Cosmetic Dentistry
      • Preventative Dentistry
      • General Dentistry
      • Dental Bridges
      • Implant Dentistry
      • Dentures and Partials
      • Teeth Grinding Relief
    • View All
  • Dental Health
  • Contact
  • Pay Bill

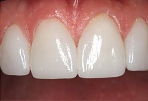
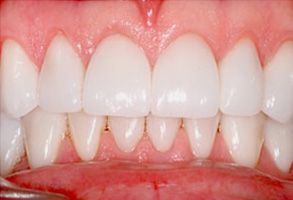
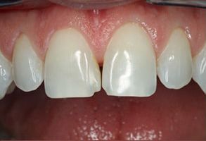
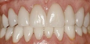
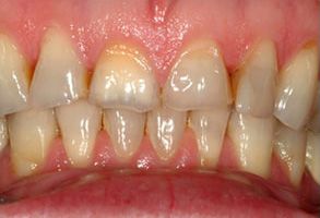
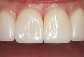
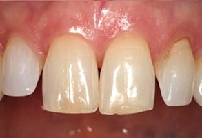
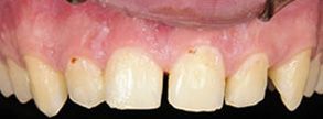
Smile Gallery

Additional Information

Our Location

105 Diagnostic Drive
Frankfort, KY 40601
(502) 223-3468

Follow Us